Steriles pyogranulomatöses Syndrom
BALU, Rhodesian Ridgeback, männlich-kastriert, 2 Jahre alt
Kurz nach einer Rauferei mit einem Hund entwickelt Balu eine Schwellung rechtsseitig an der Schnauze. Der initiale Verdacht, dass es sich um eine simple Beule handelt, bestätigt sich nicht, denn die Schwellung wächst fortwährend, und der Hund entwickelt am Rumpf und Kopf weitere kleine Hautknötchen
Untersuch und Diagnostik
Der Hund weist am Rumpf und Kopf wohl zwei Dutzend harte Hautknötchen von unterschiedlicher Grösse auf. Die Knötchen sind schmerzfrei; an mehreren Stellen ist das Fell auch schütter. Balu zeigt keinerlei Juckreiz, die restliche Haut ist unauffällig.
Gewebeuntersuchung
Das Krankheitsbild von Balu ist sehr unüblich. Nicht zuletzt muss selbst bei einem so jungen Hund auch an Hautkrebs gedacht werden, weshalb wir uns zur Entnahme von Gewebeproben unter einer kurzen Narkose entscheiden. Der Gewebebefund ist ebenfalls unüblich: Der Pathologe diagnostiziert einen bestimmten Typ einer entzündlichen Veränderung der Haut (Dermatitis). Eine erweiterte Gewebeuntersuchung weist nach, dass der Hund nicht an einer Leishmaniose leidet - diese parasitäre Krankheit könnte nämlich ein ähnliches Bild verursachen. Abschliessend wird also die Diagnose einer "pyogranulomatösen Dermatitis/Adnexitis" gestellt.
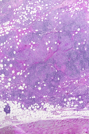
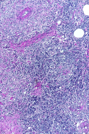
Mikroskopische Aufnahme des Gewebes - geringe Vergrösserung. Mikroskopische Aufnahme des Gewebes - starke Vergrösserung. Bei Aufnahme: Dr. U. Hetzel den dunklen Punkten handelt es sich um Entzündungszellen. Aufnahme: Dr. U. Hetzel
Therapie und weiterer Verlauf
Zur Therapie der Erkrankung können verschiedene Medikamente verwendet werden, welche das Immunsystem zurückfahren. In einem ersten Versuch setzen wir ein Medikament ein, welches gegenüber den Alternativen (Cortison, Krebsmedikamente) geringere Nebenwirkungen aufweist, aber etwas kostspieliger ist. Das Präparat wird in voller Dosis eingesetzt, bis die Knoten allesamt verschwunden sind; teilweise bleiben aber noch kleine haarlose Flecken übrig. Anschliessend wird das Medikament ausgeschlichen; zur Zeit der Publikation dieses Berichts geht es Balu auch ohne Medikament gut.
Wissenschaftliches
Beim sogenannten "sterilen pyogranulomatösen Syndrom" des Hundes handelt es sich um eine selten auftretende Entzündung der Haut, deren Ursache nicht geklärt ist. Das Immunsystem beginnt, körpereigene Strukturen anzugreifen, was zu Knoten, Haarausfall, nässenden Schwellungen und Geschwüren führen kann. Betroffene Hunde können auch systemische Zeichen wie Lethargie und Appetitverlust zeigen; die Diagnose kann nur über Gewebeproben gestellt werden. Da die Ursache des Problems unklar ist, bleibt keine andere Möglichkeit, als das Immunsystem mit Medikamenten davon abzuhalten, den Körper anzugreifen.
Wir danken Dr. Dr. U. Hetzel vom Institut für Veterinärpathologie der Uni Zürich herzlich für die mikroskopischen Aufnahmen.
© Dr. med. vet. P. Müller / Lyssbachvet







