Maxwell und die "Scottish Fold" - über Ethik in der Tierzucht
MAXWELL, Scottish-Fold, männlich-kastriert, ca. 4 Jahre alt
Maxwell ist ein "Findelkind": Obwohl er ein Rassekater ist, wurde er als Streuner aufgegriffen und ins Tierheim gebracht. Eine Suche nach den Besitzern verlief erfolglos, und es scheint möglich, dass der Kater ausgesetzt worden ist. Die Schwester einer Tierheimmitarbeiterin hat Maxwell dann adoptiert und stellt ihn uns vor, um eine Standortbestimmung vorzunehmen: Als Vertreter der Rasse "Scottish Fold" ist zu befürchten, dass der Kater Veränderungen an den Knochen und Gelenken aufweist.
Untersuch und Röntgen
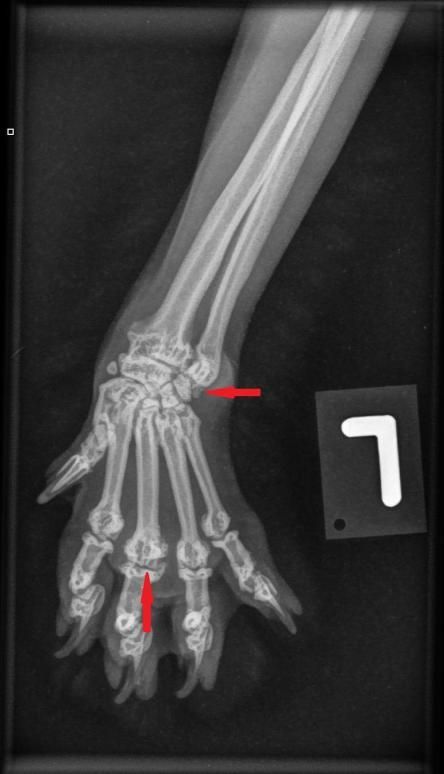
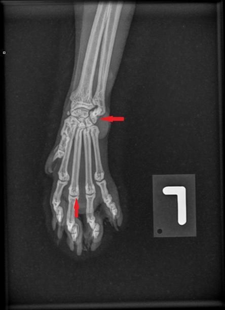
Die Besitzerin berichtet, dass der Kater recht lahmheitsfrei laufe, aber nicht über eine grosse Sprungkraft verfüge. Die Beine von Maxwell sind eher kurz und er scheint hinten und vorne X-beinig. Der Gang der Katze wirkt staksig; eine eigentliche Lahmheit ist nicht zu sehen. Um Aufschluss über die Situation in den Gelenken zu erhalten, werden die Vorderpfoten/Handgelenke, Hinterpfoten/Fusswurzelgelenke und die Wirbelsäule geröntgt. Es ist zu erkennen, dass Hand- und Fusswurzelgelenke gegenüber der Normalsituation eine X-beinigkeit (Valgisierung) aufweisen, an verschiedenen Stellen Anzeichen einer Arthrose vorhanden sind und insbesondere die Mittelhand- und Mittelfussknochen kurz und gedrungen erscheinen. Ein Teil der Fusswurzelknochen von Maxwell sind ausserdem zu einem einzigen Knochen verwachsen.
Vorderpfote links Maxwell Vorderpfote links normale Katze
Sprunggelenk links Maxwell Sprunggelenk links normale Katze
Problemfall "Scottish Fold"
Die beobachteten Veränderungen sind bedingt durch die Rassenzugehörigkeit von Maxwell: Merkmal der "Scottish Fold" sind die auffälligen Knickohren - diese Besonderheit kommt durch einen Gendefekt zustande, welcher eine Knorpelwachstumsstörung und damit die auffälligen Ohren bewirkt. Jedes Gen liegt bei Katzen (wie auch beim Menschen) in der Erbsubstanz in zweifacher Ausführung vor: Das eine wird von der Mutter, das andere vom Vater des Tieres weitergegeben. Das Merkmal der Faltohrigkeit wird dominant vererbt, d.h. wenn eines oder beide der Gene den Defekt tragen, zeigt das Tier die entsprechenden typischen Ohren. Unglücklicherweise liefert das Gen auch Informationen zur Bildung der Gelenksknorpel und Knochen, so dass neben den Faltohren auch Schäden an den Gelenken auftreten. Diese Problematik wird inkomplett dominant vererbt - Tiere, bei welchen beide Gene defekt sind, zeigen schon früh im Leben schwere Veränderungen, währenddem Tiere, bei welchen nur ein Gen defekt ist, im Laufe des Lebens unterschiedlich ausgeprägte Schäden entwickeln (Osteochondrodysplasie). Weist eine Katze Knickohren auf, ist sie in jedem Fall in einem gewissen Grad von der Problematik betroffen, wie eine entsprechende Studie zeigt.
Maxwell hat das Glück, dass er bisher nur eher leichte Veränderungen an den Gelenken aufweist. Da das Problem nicht heilbar ist, bleiben uns bei Fortschreiten der Problematik nur die Verabreichung von Schmerzmitteln und gelenksunterstützenden Futterzusätzen. Die Besitzerin berichtet, dass Maxwell unter Schmerzmitteln deutlich aktiver und vitaler erscheint.
Tierzucht, Ethik und Rechtslage
Die Scottish Fold ist ein Beispiel für die Problematik der sogenannten Qualzucht: Obwohl die gesundheitlichen Konsequenzen der Faltohren für die Tiere bald einmal offensichtlich waren, wurde und wird die Rasse aus optischen Gründen weiterhin gezüchtet. Wohl ist es in der Zwischenzeit verboten, Tiere in der Zucht zu verwenden, welche wegen Defekten an beiden Genen stark betroffen sind. Um die Problematik einzugrenzen, wurden Tiere mit Faltohren und nur einem defekten Gen mit British Shorthair-Katzen (welche normale Ohren aufweisen) gekreuzt. Nachkommen solcher Paarungen sind zu 50% entweder gar nicht betroffen (weisen dann aber auch normale Ohren auf und werden "Scottish Straight" genannt) oder tragen zu 50% nur ein defektes Gen, weshalb die Gelenksveränderungen milder ausfallen als bei doppelt betroffenen Tieren. Trotzdem ist aber auch bei diesen Tieren sicher, dass
Gelenksveränderungen und damit potentiell Schmerzen auftreten werden.
Als Qualzucht bezeichnet man "eine Zucht von Tieren, bei der deren Schmerzen, Fehlbildungen u. a. gesundheitliche Schäden aus wirtschaftlichen Gründen in Kauf genommen werden." Beispiele dafür gibt es v.A. auch bei Hunden - bei brachycephalen Rassen (zB Mops, Bulldoggen) ist der kurzgezüchtete Schädel und die veränderte Wirbelsäule beispielsweise Anlass für diverse gesundheitliche Probleme wie Atemnot sowie Gebiss- und Rückenprobleme; bei Zwergrassen wie Chihuahuas ist u.A. die unnatürliche Schädelform und Grösse der Tiere für eine Häufung von Hirnmissbildungen verantwortlich. Eine Langzeitstudie aus Holland bei Cavalier King Charles Spaniels zeigt, dass 100% der Tiere eine "Chiari-Like-Malformation" aufweist (eine Missbildung der hinteren Schädelregion, die zu einer Kompression des Kleinhirns und des Hirnstammes am Übergang vom Schädel zum ersten Halswirbel führt). Während die Tierschutz-Gesetzgebung bezüglich Qualzuchten in der letzten Zeit grundsätzlich strenger geworden ist (z.B. ist die Zucht von Scottish Fold Katzen in Schottland verboten), gibt es nach Schweizer Recht leider durchaus Möglichkeiten, Tiere zu züchten, welche aufgrund ihrer Äusserlichkeit körperliche Nachteile ertragen müssen. Auf Anfrage äusserte sich das Bundesamt für Landwirtschaft und Veterinärwesen BLV wie folgt: "Die Rasse der Scottish Fold wurde trotz ihrem Potenzial einer Qualzucht nicht unter die verbotenen Zuchtformen gestellt, weil die Tierschutzvorschriften zulassen, dass unter besonderen Vorsichtsmassnahmen (veterinärmedizinische Belastungsbeurteilung, Gentest, Zuchtplanung) auch mit einem mittelgradig belasteten Zuchttier gezüchtet werden darf, sofern durch geeignete Zuchtstrategie die Belastung der Nachkommen niedriger als die der Elterntiere sein wird. Der Zuchteinsatz von hochbelasteten Tieren ist in jedem Fall verboten."
Es ist zu hoffen, dass die einschlägige Rechtssprechung bezüglich Qualzuchten in Zukunft weiter verschärft wird und in der Zucht involvierte Personen und Zuchtverbände die Problematik ernst nehmen und entsprechende Veränderungen des Zuchtziels an die Hand nehmen. Hauptsächlich stehen aber v.A. zukünftige Tierbesitzer in der Verantwortung: Der Kauf eines Welpen mit gesundheitsschädlichen körperlichen Merkmalen ist unverantwortlich und kreiert eine Nachfrage, welche unweigerlich auch ein Angebot nach sich zieht. Eine empfehlenswerte Dokumentation zum Qualzuchtproblem bei brachycephalen Hunden findet sich in
diesem Beitrag des norddeutschen Rundfunks.en.
© Dr. med. vet. P. Müller / Lyssbachvet

Schädelröntgen eines normalen vs. eines brachycephalen Hundes. Der Gesichtsschädel ist beim Bulldog so kurz gezüchtet worden, dass die Nasenfunktion stark eingeschränkt ist und die Zähne im Oberkiefer keinen Platz mehr finden. Copyright: catthevet.com







