Reflexdyssynergie
VICTOR, Boston Terrier, männlich, 8 Jahre alt
Victor wird uns vorgestellt, weil er Mühe beim Absetzen von Urin zeigt: Wohl stellt sich der Hund in die rüdentypische 3-Bein-Postur, kann danach aber nur kurz einen meist etwas dünneren Strahl Harn absetzen, wonach der Urinfluss sistiert. Nachdem der Hund eine Weile gepresst hat, folgt eine weitere kleine Menge Urin. Manchmal positioniert sich der Hund auch in der "weiblichen" Kauerstellung, um Harn unter längerem Pressen absetzen zu können. Er scheint ausserdem etwas reduziert in seinem Allgemeinbefinden und frisst eher widerwillig.

Untersuchungen Teil 1: Röntgen und Ultraschall des Herzens
Der Allgemeinuntersuch verläuft normal. Die Untersuchung des Harn- und Geschlechtsapparates zeigt, dass die Prostata von Victor deutlich vergrössert ist. Sie fühlt sich aber symmetrisch an und erscheint nicht schmerzhaft. Die Blase ist klein und enthält praktisch keinen Urin - offensichtlich ist der Hund trotz seiner Probleme fähig, die Blase zu leeren. Ein neurologischer Untersuch verläuft unauffällig.
Für das beobachtete Verhalten beim Harnabsatz scheinen zwei Problemkreise in Frage zu kommen: Einerseits scheint es möglich, dass der Harnabsatz zwischenzeitlich mechanisch blockiert wird - als Ursachen scheinen hier unter anderem Harnröhrensteine, Geschwulste in den ableitenden Harnwegen oder Prostataveränderungen möglich. Andererseits könnte auch eine Blasenreizung das beobachtete Verhalten bewirken - beispielsweise bei einer Blasenentzündung kann die Blasenwand derart gereizt sein, dass bei der kleinsten Füllung der Blase ein Harnabsatzversuch ausgelöst wird, weil die Entzündung eine stark gefüllte Blase suggeriert.
Entsprechend diesen Möglichkeiten wird eine erste Serie von Untersuchungen durchgeführt:
Blase und Harnröhre werden mittels einer normalen Röntgenaufnahme beurteilt. Hier wird insbesondere die Möglichkeit einer Verlegung der Harnröhre durch einen Stein untersucht; ausserdem können die Region von Lendenwirbelsäule und Beckenkanal beurteilt werden - diese zwei Bereiche können bei Tumoren der Prostata von Ablegern befallen werden. Die Röntgenaufnahme zeigt aber keine Auffälligkeiten ausser einer vergrösserten Prostata.
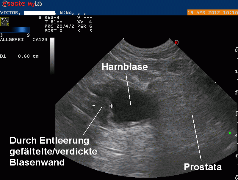
Nach dem Röntgen wird die Bauchhöhle per Ultraschall untersucht: Die Blase enthält nur wenig Urin; dadurch erscheint die Blasenschleimhaut im vorderen Blasenteil verdickt und aufgefältelt. Eine Geschwulst in diesem Bereich kann jedoch, obwohl von der Lokalisation her sehr unüblich, nicht komplett ausgeschlossen werden. Aus der Blase wir mit einer Kanüle Urin entnommen - die mikroskopische und bakteriologische Untersuchung zeigt, dass weder ein bakerieller Infekt, noch eine Entzündung in der Blase vorhanden ist.
Die Prostata erscheint sonografisch verändert: Sie ist vergrössert, enthält Regionen von unterschiedlicher Echodichte sowie viele kleine und kleinste Cysten. Auf der linken Seite findet sich ausserdem ein aussen der Prostata anliegende, kleine sogenannte paraprostatische Zyste. Die Prostataveränderungen sind vereinbar mit einer gutartigen, altersbedingten sogenannten Prostatahyperplasie - wie beim Mann kann sich die Prostata auch beim Rüden im Laufe des Lebens unter ständigem Testosteroneinfluss vergrössern und strukturell verändern.
Um herauszufinden, ob es sich bei der paraprostatischen Zyste möglicherweise um einen Abszess oder Folge eines Tumors handelt, wird die Zyste punktiert und entleert. Zytologisch werden keine Bakterien gefunden; allerdings kann ein Prostatatumor nicht komplett ausgeschlossen werden.
Bis zum Erhalt der diversen Laborresultate erhält Victor ein Antibiotikum, welches gut in die Prostata eindringen kann sowie eine Injektion mit einem Medikament, welche bei einer gutartigen Prostatavergrösserung die Drüse zum Schrumpfen bringt.


Untersuchungen Teil 2: Kontraströntgen
Auch nach einer Woche unter Antibiotika und nach Injektion des Medikamentes, welches die Prostata zum Schrumpfen bringt, geht es Victor nicht besser; er kann weiterhin Urin nur in kleinen Portionen absetzen. Deshalb wird ein zweiter diagnostischer Schritt unternommen, um die verbleibenden möglichen Probleme abzuklären:
Unter leichter Sedation wird ein Kontrast-Urethrogramm angefertigt. Hierbei wird die Harnröhre kathetrisiert und ein Kontrastmittel in die Harnröhre gespritzt. So kann die normalerweise nicht sichtbare Harnröhre im Röntgen sichtbar gemacht werden. Es zeigt sich, dass die Harnröhre auf ihrer ganzen Länge frei durchgängig ist und keine Blockierung durch eine nicht-röntgendichte Struktur (z.B. Polyp in der Harnröhre) vorliegt. Auch die Prostata scheint die Harnröhre nicht einzuengen. Der Harnkatheter kann problemlos in die Blase vorgeführt werden. Nach Entfernen des Katheters kann die Blase problemlos manuell ausgepresst werden, was ebenfalls das Fehlen einer mechanischen Obstruktion beweist.
Anschliessend werden Blase und Prostata nochmals mittels Ultraschall untersucht: Durch die Füllung der Blase mit steriler Kochsalzlösung dehnt sich diese aus, und es kann bewiesen werden, dass die Verdickung der Blasenschleimhaut so zum Verschwinden gebracht werden kann, was einen Tumor definitiv ausschliesst. Die Prostata erscheint inzwischen auch deutlich kleiner; vorsichtshalber wird aber trotzdem eine Gewebeprobe aus der Drüse selbst entnommen - glücklicherweise zeigt sie aber nur die erwartete gutartige Hyperplasie und keine Tumorzellen.


Therapie und weiterer Verlauf
Durch diese umfassende Abklärung sind alle möglichen Ursachen für eine Blockade der Harnröhre und ein entzündliches Problem ausgeschlossen worden. An diesem Punkt kommt nur noch ein Krankheitsbild infrage, welches Victor's Symptome bewirken könnte: Die Reflexdyssynergie.
Bei diesem Krankheitsbild arbeiten die Muskeln, welche einerseits die Blasenleerung bewirken und andererseits den Blasenausgang als Schliessmuskel abdichten, nicht mehr koordiniert zusammen. Während der Blasenleerung ziehen sich die Schliessmuskel zusammen und stoppen so den Urinfluss - eine Koordinationsstörung also vielmehr als eine mechanische Blockade. Diese Diagnose kann nicht direkt sondern nur nach Ausschluss aller anderen Möglichkeiten gestellt werden.
Victor erhält ein Medikament, welches die Entspannung des Blasenschliessmuskels bewirkt, und schon nach wenigen Tagen setzt der Hund wieder normal Urin ab. Nach einer guten Woche entwickelt er aber Durchfall, und das Medikament wird versuchsweise abgesetzt. Auch ohne Medikament kann Victor jetzt glücklicherweise normal Harn absetzen, und der Fall wird abgeschlossen.

Wissenschaftliches
"Victor" war für uns ein kniffliger Fall, da die Diagnose schlussendlich nur durch Elimination aller anderen möglichen Ursachen für seine Symptome eruiert werden konnte. Die Reflexdyssynergie kommt ausserdem vor allem bei grossen Hunderassen vor. Der durchschlagende Erfolg der entsprechenden Therapie nach nur wenigen Tagen bestätigt aber sicherlich die Ausschlussidagnose einer Reflexdyssynergie.
Bei diesem neurologischen Problem arbeiten Blasenschliess- und Blasen"auspress"muskel nicht mehr koordiniert zusammen. Typischerweise entsteht so eine stark gefüllte Blase, die nur in kleinen Portionen geleert werden kann - auch hier war "Victor" nicht ein typischer Fall für das Problem. Die Ursachen für die Störung kann im Rückenmark oder dem peripheren vegetativen Nervensystem liegen; häufig werden aber keine anatomischen Auslöser für die Erkrankung gefunden. Die Therapie besteht einerseits aus Medikamenten, welche die beiden Blasenschliessmuskel zur Entspannung bringen und/oder aus einem Medikament, welches den Blasen"auspressmuskel" stärkt. Manchmal ist auch eine repetierte Blasenkathetrisierung vonnöten, um die volle Blase zu leeren.
© Dr. med. vet. P. Müller / Lyssbachvet



