Noduläre Hyperplasie der Milz
ORYAD, Tibet Terrier, weiblich-kastriert, 11 Jahre alt
Oryad wird unserer Partnerpraxis in Biel vorgestellt, weil die Hündin seit einiger Zeit schnell müde wird und auf Spaziergängen keine Ausdauer mehr zeigt. Der körperliche Untersuch verläuft unauffällig, weshalb die weitere Abklärung vorangetrieben wird.
Erste Abklärungen
Eine Blutuntersuchung verläuft unauffällig, ebenfalls verläuft die Suche nach Veränderungen von Herz und Lunge mittels Röntgenaufnahmen des Brustkorbes ergebnislos. Bei einer Röntgenaufnahme des Bauches wird aber ein Knoten entdeckt, und Oryad wird uns zur weiteren Abklärung des Problems zur Ultraschalluntersuchung überwiesen.

Ultraschall und Operation
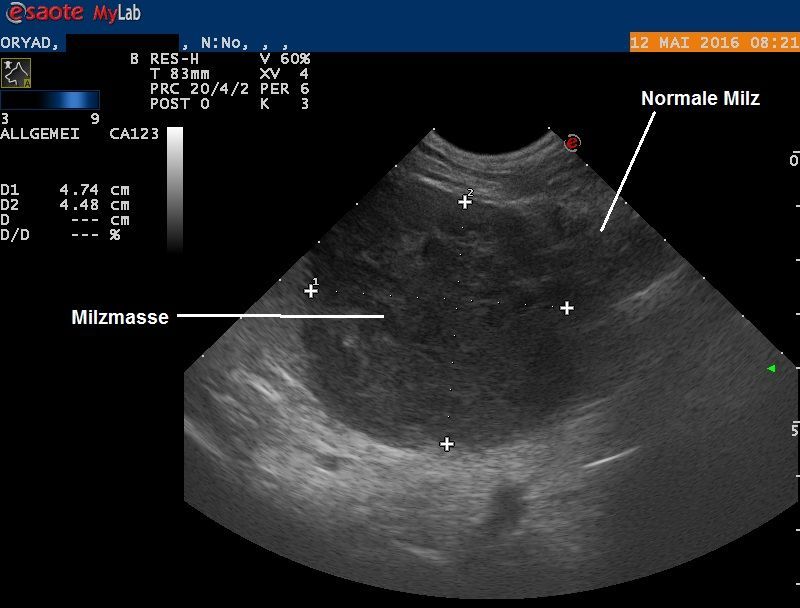
Obwohl nun bekannt ist, dass sich im Bauch des Hundes ein Knoten verbirgt und dieser zielgerichtet abgetastet werden kann, erweist sich die Masse als nicht ertastbar. Im Ultraschall findet sich dann aber ein knapp 5 cm messender, kugeliger Knoten innerhalb der Milz. Der Knoten zeigt eine heterogene (uneinheitliche) Echotextur und enthält auch kleine Hohlräume, welche mit Flüssigkeit gefüllt scheinen. In der Bauchhöhle findet sich aber keine Flüssigkeit, die restlichen Bauchorgane erscheinen unauffällig, und auch ein kurzer Ultraschall des Herzens verläuft unauffällig.
Da davon ausgegangen werden muss, dass der Milzknoten für den verschlechterten Allgemeinzustand von Oryad verantwortlich ist, wird der Entscheid zur Entfernung der Milz gefasst. Eine vorgängige Gewebeprobe mittels Feinnadelaspiration wird nicht durchgeführt, da bei zwei der möglichen Geschwulsttypen (Hämangiosarkom sowie Bluterguss, siehe Fall 19 ) eine Gewebediagnose sehr schwierig ist und mit einem starken Blutungsrisiko verbunden ist.
Die Operation verläuft problemlos, und ein grosses Stück der veränderten Milz wird zur Gewebeuntersuchung eingeschickt.

Gewebsuntersuch und weiterer Verlauf
Beim Entfernen der Fäden 10 Tage nach der Operation berichten die Besitzer, dass es dem Tier sehr viel besser gehe als vor der Operation und Oryad schon praktisch wieder die altbekannte, energiegeladene Hündin sei.
Der Gewebsbefund ist glücklicherweis ebenfalls positiv: Statt einem bösartigen Hämangiosarkom wurde ein gutartiger Regenerationsknoten der Milz gefunden; nicht komplett ausschliessen kann der Pathologe eine gutartige Lymphkrebsvariante, welche nach Entfernung der Milz aber ebenfalls eine gute Prognose tragen würde.
Es ist demzufolge zu erwarten, dass die Entfernung der Milz das Problem des Hundes komplett und nachhaltig behoben hat.
Wissenschaftliches
Die Milz ist ein Organ, welches beim Hund diverse Aufgaben erfüllt, aber dennoch nicht lebenswichtig ist und nötigenfalls entfernt werden kann. Neben der Entfernung von alten roten Blutkörperchen aus dem Blut und der Mitarbeit bei der Immunabwehr kann die Milz auch neue rote Blutkörperchen bilden und Blut speichern. Mehrere und häufig bösartige Krebstypen können in der Milz vorkommen; andererseits können bei älteren Hunden auch meist harmlose sogenannte Regenerationsknoten gefunden werden: Bei diesen Geschwulsten handelt es sich um gutartige Neubildungen von Milzgewebe, welche mittels Ultraschall nicht definitiv von Krebsgewebe unterschieden werden können. Meistens verursachen diese Knoten keinerlei Beschwerden; bei Oryad scheint der Knoten aber Ursache für die beobachtete schnelle Ermüdbarkeit gewesen zu sein.
© Dr. med. vet. P. Müller / Lyssbachvet



