Prostatakrebs mit Abszedierung
CHARLY, Beagle, männlich-kastriert, 11 Jahre alt
Charly wird uns vorgestellt, weil die Besitzerin bemerkt hat, dass der Urin des Hundes phasenweise blutige Beimengungen aufweist. Ansonsten geht es Charly sehr gut. Knapp drei Monate zuvor war der Hund am Tierspital aufgrund eines Darmfremdkörper-Verdachtes operiert worden - bei der Operation bestätigte sich der Verdacht jedoch nicht, der Bauch wurde ohne weitere Intervention wieder verschlossen, und Charly erholte sich problemlos von der Chirurgie.
Untersuch und erste Abklärungen
Der Untersuch von Charly verläuft weitgehend unauffällig - der Hund ist munter und interessiert. Der Rektaluntersuch zeigt aber, dass die Prostata unregelmässig vergrössert und zum Teil derb verhärtet erscheint, sie ist aber nicht schmerzhaft.
Zur Abklärung eines möglichen Blasen- oder Prostataproblems wird zuerst ein Röntgenbild angefertigt. Hier sieht man, dass die Prostata vergrössert ist (was bei einem kastrierten Rüden ungewöhnlich ist) und der Enddarm vor dem Beckeneingang etwas gegen unten gedrückt erscheint - möglicherweise wird dies durch vergrösserte Lymphknoten in dieser Gegend bewirkt.
Anschliessend wird die Bauchhöhle mittels Ultraschall untersucht: Tatsächlich erscheinen die Beckeneingangs-Lymphknoten vergrössert. Die Prostata präsentiert sich vergrössert und mit stark variabler Echotextur; sie enthält einen flüssigkeitsgefüllten Hohlraum (zB Cyste oder Abszess) und stellenweise sind auch Verkalkungen zu sehen. Die Harnblase erscheint unauffällig.
Weitere Untersuchung und Diagnose
In einem zweiten Untersuchungsschritt werden die Prostata und die vergrösserten Lymphknoten unter leichter Narkose unter Ultraschallführung punktiert: Die Prostatapunktion liefert etwa einen Milliliter einer bräunlich-roten, schleimigen, stark riechenden gallertigen Flüssigkeit. Nach der Punktion ist zu erkennen, dass die zuvor festgestellte Flüssigkeit in der Prostata komplett entfernt worden ist.



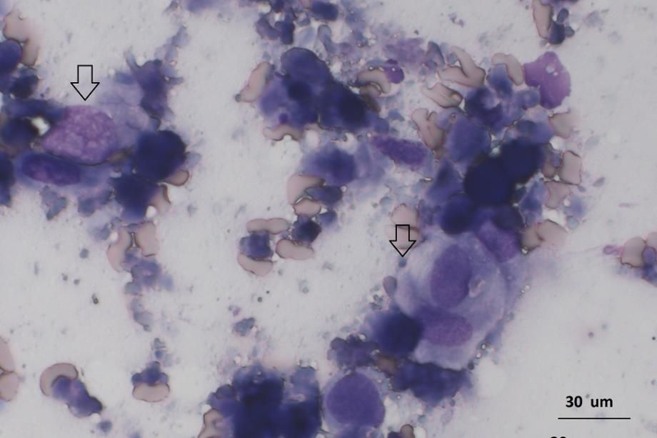
Zelluntersuch
In einem externen Labor werden die Proben zelltechnisch und bakteriologisch untersucht: In der Prostataprobe wird eine eitrige Entzündung mit Bakterienbeteiligung gefunden (obere Aufnahme); die bakteriologische Kultur liefert denn auch einen entsprechenden bakteriellen Erreger. Krebszellen werden keine gefunden. Beim Lymphknoten wird jedoch leider nicht wie erhofft nur eine Aktivierung durch den eitrigen Infekt in der Prostata festgestellt, sondern es werden Tumorzellen gefunden: Die lichtmikroskopische und weiterführende immunzytochemische Untersuchung zeigt, dass der Lymphknoten mit Karzinomzellen (ein bösartiger Drüsen- und Oberflächengewebskrebs) durchsetzt ist (untere Aufnahme). Es ist davon auszugehen, dass die Prostata neben dem eitrigen Infekt auch eine Krebserkrankung aufweist und der Lymphknoten von Tochtergeschwulsten (Metastasen) besetzt worden ist.


Therapie und weiterer Verlauf
Charly erhält ein hochdosiertes Antibiotikum. Mit dem bakteriologischen Befund eine Woche später erhalten wir auch ein Antibiogramm - eine Liste an Antibiotika, auf welcher diejenigen Medikamente vermerkt sind, welche gegen diesen Keim wirksam sind. Glücklicherweise muss das eingesetzte Präparat nicht gewechselt werden, und der Hund wird während total 4 Wochen weitertherapiert. Schon kurz nach Beginn der Therapie findet sich kein Blut im Urin mehr. Gegen die Krebserkrankung ist leider eine Therapie deutlich schwieriger - wegen der Ausbreitung in die Lymphknoten ist eine Operation nicht möglich oder sinnvoll. Stattdessen wird ein Medikament, welches in der Humanmedizin zur Schmerzbekämpfung eingesetzt wird und beim Hund bei gewissen Krebssorten das Wachstum des Tumors bremsen kann, eingesetzt. Solange es Charly gut geht, und er keine Probleme mit Kot- und Urinabsatz zeigt, kann er ein Leben mit guter Lebensqualität führen. Leider wird der Krebs aber mit grosser Wahrscheinlichkeit schlussendlich zu grösseren Problemen führen und eine Euthanasie des Hundes notwendig machen.
Wissenschaftliches
Prostatakrebs ist beim Rüden viel weniger häufig als beim Mann. Kastrierte Rüden sind häufiger davon betroffen als unkastrierte. Der Krebs ist meist bösartig (Karzinom), metastasiert sehr früh in die lokalen Lymphknoten und ist deshalb schwierig zu bekämpfen. Bei Charly wurden in der Prostatapunktion keine Krebszellen gefunden, was wahrscheinlich daher rührt, dass die Probenentnahme in einem eitrig eingeschmolzenen Gebiet erfolgte wo die Krebszellen durch den Eiter verdrängt worden sind - anders lassen sich die Karzinomzellen im regionalen Lymphknoten jedenfalls kaum erklären.
Eine Therapie des Krebses ist, nicht zuletzt wegen der häufigen Metastasierung und beträchtlichen Nebenwirkungen, schwierig.
Das bei Charly eingesetzte Medikament Piroxicam (ein sogenannter nichtsteroidaler Entzündungshemmer) scheint interessanterweise bei gewissen Krebstypen (insbesondere der ableitenden Harnwege) beim Hund eine wachstumshemmende Wirkung zu zeigen . Es ist meist gut verträglich und kann die mittlere Überlebensdauer des Patienten beträchtlich verlängern. Trotzdem ist zu befürchten, dass Prostata und befallener Lymphknoten bei Charly früher oder später zu Problemen führen werden.
Wir danken Dr. C. Krudewig vom Pathologischen Institut der Vetsuissefakultät Zürich herzlich für die Zurverfügungstellung der Aufnahmen der zytologischen Präparate
© Dr. med. vet. P. Müller / Lyssbachvet



