Phäochromozytom
Maylo, Grosser Schweizer Sennenhund, männlich, 8 Jahre alt
Die Besitzer von Maylo schreiben uns eine e-Mail:
Der Hund musste am Wochenende zuvor wegen akuten Schmerzen und Unruhe dem Notfalltierarzt vorgestellt werden. Die initiale Befürchtung einer Magendrehung bestätigte sich zum Glück nicht; der Tierarzt diagnostizierte aufgrund der angefertigten Röntgenbilder aber eine Rückenarthrose und verschrieb Schmerzmittel. Maylo ging es schnell wieder besser, und die Besitzer möchten nun wissen, wie mit den Schmerzmitteln fortzufahren wäre.
Röntgenbilder
Wir studieren die übermittelten Röntgenbilder. Die Wirbelsäule weist tatsächlich an mehreren Stellen Zeichen einer Rückenarthrose (Spondylose) auf (grüne Pfeile). Im Bauchraum fällt uns ausserdem ein fraglicher Masseneffekt auf: Die Region in der Mitte des Bauches erscheint genüber dem restlichen Bauchraum zu röntgendicht (zu hell), was den Verdacht weckt, dass sich an dieser Stelle Gewebe befindet, welches normalerweise nicht vorhanden ist.
Auch erscheint es seltsam und unüblich, dass die vorhandene Rückenarthrose einen akuten, starken Schmerz verursachen würde. Könnte es sein, dass Maylo stattdessen im Bauchraum ein Problem entwickelt hat?
Wir bitten die Besitzer, den Hund für eine genauere Untersuchung (Ultraschall der Bauchhöhle) in die Praxis zu bringen.

Untersuch und Ultraschall
Das Allgemeinbefinden von Maylo ist gut. Das Abtasten des Bauches erscheint nicht schmerzhaft, aber auch bei dieser Untersuchung besteht der Verdacht eines Masseneffektes im fraglichen Bereich.
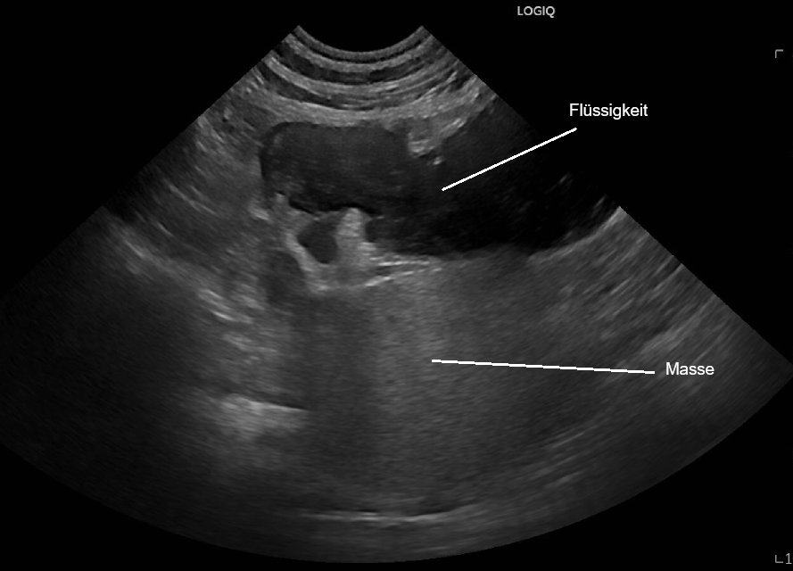
Im Ultraschall wird dann ersichtlich, dass der Hund im Bereich der linken Nebenniere einen Knoten von etwa 5 cm Durchmesser aufweist. Anschliessend an den Knoten befindet sich ein flüssigkeitsgefüllter Raum. Es besteht der dringende Verdacht, dass Maylo an einem Nebennierentumor leidet, welcher zu einer Blutung geführt hat.
Weiterer Verlauf
Wir überweisen Maylo zur weiteren Diagnostik (CT) und chirurgischen Therapie (nach Möglichkeit Entfernung des Tumors) an eine Klinik.
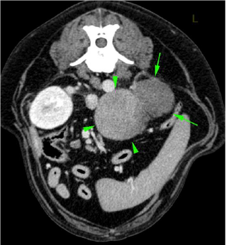
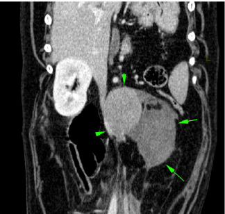
Im CT kann der Tumor bestätigt werden, bei der beobachteten Flüssigkeit handelt es sich um Blut. Eine Gewebepunktion diagnostiziert ein sogenanntes Phäochromozytom - ein Tumor der Nebenniere, welcher aus Zellen besteht, welche das Hormon Adrenalin produziert.
In einer mehrstündigen und riskanten Operation gelingt es dem Chirurgen, den Tumor zu entfernen. Maylo erholt sich trotz des etwas höheren Alters und dem Schweregrad des Eingriffes gut von der Operation.
Wissenschaftliches
Phäochromozytome sind seltene, bösartige Tumoren der Nebenniere. Sie entwickeln sich aus sogenannten neuroendokrinen Zellen im Nebennierenmark. Diese Zellen werden kurzfristig aktiviert und schütten Adrenalin in den Blutkreislauf aus, wenn der Körper eine Stressreaktion auslöst. Durch das Adrenalin wird der Körper in Alarmbereitschaft versetzt, Blutdruck und Herzfrequenz steigen an. Dieser Effekt ist auch bei der chirurgischen Entfernung des Tumors gefürchtet und kann zu Rhythmusstörungen führen - entsprechend muss sehr vorsichtig operiert und Blutdruck und Herzrhythmus überwacht werden.
Phäochromozytome können in die hintere Hohlvene einwachsen, was die Entfernung massiv erschweren oder verunmöglichen kann. Bei Maylo wurde offensichtlich durch das Tumorwachstum ein Gefäss beschädigt, welches blutete und zum beobachteten Hämatom (Bluterguss) führte. Es ist denkbar, dass diese Blutung auch für die akuten Bauchschmerzen des Hundes verantwortlich war.
© Dr. med. vet. P. Müller / Lyssbachvet



