Kniescheibenfraktur
Hardy, Hauskatze, männlich, 4 Monate alt
Hardy ist ein grosser Pechvogel: Obwohl der junge Kater noch keinen Freigang geniesst, hat er es geschafft, sich wohl beim Herumturnen am rechten Hinterbein so stark zu verletzen, dass uns die Besitzer wegen der deutlichen Lahmheit aufsuchen.

Diagnosestellung
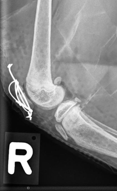
Das rechte Knie von Hardy erscheint schmerzhaft. Die Röntgenbilder zeigen, dass sich das Katerchen einen Bruch der Kniescheibe zugezogen hat - eine sehr unübliche Verletzung.

Operation
Wir überweisen den jungen Kater an eine nahegelegen Chirurgiepraxis. Dort wird der Bruch mittels einer sogenannten Zuggurtung versorgt: Diese Methode beinhaltet ein System an Nägeln und Drähten, welche bei Knochenbrüchen eingesetzt werden, die einer Zugkraft ausgesetzt sind.

Weiterer Verlauf
Hardy erholt sich gut von der Operation. Der Aufenthalt in einem grossen Käfig, der während 6-8 Wochen ein allzu wildes Herumturnen verhindern soll, erweist sich aber als Herausforderung. Bei der Kontrolle 4 Tage nach Operation ist auch ersichtlich, dass sich Hardy etwas an der Wunde geleckt hat. Da das Tragen eines Halskragens erwiesenermassen völlig unmöglich ist, geben wir dem Besitzer einen Bitterspray mit, um das Lecken zu verhindern. Geplant ist ein Ziehen der Nähte in einer Woche. Kontrollröntgen sind 6 Wochen nach der Operation vorgesehen.
Wissenschaftliches
Die Kniescheibe (Patella) ist ein kleiner Knochen, welche vorne am Knie in einer Rille (Sulcus intercondylaris) am unteren Ende des Oberschenkelknochens liegt. Sie ist in die Sehne des grossen Oberschenkelmuskels (Quadriceps Femoris) eingebaut, welche diesen Muskel mit dem Sehnenansatz am Schienbein verbindet. Sie dient als Umlenkrolle: Zieht sich der Oberschenkelmuskel zusammen, wird die Kniescheibe in ihrer Rille nach oben gezogen und das Kniegelenk streckt sich. Bei kleinen Hunderassen kommt es häufig vor, dass die Patella nicht genügend stabil in dieser Rille liegt - es kommt zu einer Kniescheibenluxation.
Ein Bruch der Kniescheibe ist hingegen eine sehr ungewöhnliche Verletzung bei Hunden und Katzen; es wird geschätzt, dass sie nur 0.25% aller Knochenbrüche ausmachen. Da durch die Fraktur das Kniegelenk nicht mehr korrekt bewegt werden kann, wird der Bruch chirurgisch versorgt. Das Problem: Auf den Frakturspalt wirken v.A. Zugkräfte ein, welche die Bruchstücke auseinanderziehen und so eine Heilung erschweren. Im Gegensatz dazu wirken z.B. beim Bruch des Unterschenkelknochenschafts auf den Bruchspalt hauptsächlich Druckkräfte ein, welche den Frakturspalt komprimieren und so eine Heilung einfacher machen. Bei einer Kniescheibe wird deshalb mit der sogenannten Zuggurtung ein System aus Nägeln und Drähten verwendet, um diese Zugkräfte zu neutralisieren.
Da bei einer so jungen Katze der Knochenumsatz sehr hoch ist, besteht die Hoffnung, dass der Bruch komplikationslos abheilen wird.
Wie es Hardy geschafft hat, sich die Kniescheibe zu brechen, bleibt sein Geheimnis.
Bei Katzen ist ein seltenes Krankheitsbild namens PADS (Patellary Fracture and Dental Anomaly Syndrome - Kniescheibenfraktur- und Zahnanomalie-Syndrom) bekannt: Bei diesen meist jungen Katzen (1-3 Jahre Alter) können verschiedene Knochen (Becken, Unterschenkel, Fersenbein etc) spontan brechen, ausserdem zeigen die Tiere meist einen fehlerhaften Zahnwechsel (d.h. die Milchzähne werden nicht im Alter von 4-6 Monaten durch Erwachsenenzähne ersetzt). Die Ursache dieses Problems liegt im Dunkeln - es wird davon ausgegangen, dass die betroffenen Knochen sogenannte "Stress-Frakturen" erleiden, weil die Knochensubstanz eine ungenügende Widerstandsfähigkeit gegen die einwirkenden Kräfte aufweist.
Hardy ist mit 4 Monaten sehr viel jünger als die Katzen, welche in den Untersuchungen zu PADS beschrieben werden - entsprechend scheint es wahrscheinlich, dass sein Kniescheibenbruch durch ein Trauma zustande gekommen ist.
© Dr. med. vet. P. Müller / Lyssbachvet