Kehlgangsfremdkörper
MAYA, Französische Bulldogge, weiblich-kastriert, 1 Jahr alt
Maya wurde uns schon vor etwa 3 Monaten vorgestellt, weil ihre rechte Gesichtshälfte und die rechte Seite des Halses plötzlich stark geschwollen und schmerzhaft geworden waren. Eine Punktion der Schwellung zeigte, dass es sich um einen bakteriellen Infekt aufgrund eines gängigen Eitererregers handelte. Die Schwellung verschwand denn auch schnell nach Einsatz eines entsprechenden Antibiotikums und eines Entzündungshemmers.
Leider wiederholte sich die Geschichte 3 Monate später, und Maya zeigte an derselben Stelle einen gut pingpongballgrossen, harten Knoten, der aber nicht gross zu schmerzen schien.

Untersuchung
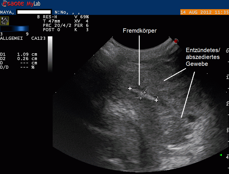
Der Umstand, dass die Schwellung rezidivierte, macht uns misstrauisch und bewirkt, dass der Knoten mittels Ultraschall genauer untersucht wird. Inmitten eines Gewebes, welches kleine flüssigkeitsgefüllte Hohlräume (wahrscheinlich Abszesse) enthält, findet sich eine stark echogene (d.h. "weisse") längliche Struktur von etwa 11 mm Länge und knapp 3 mm Durchmesser - offensichtlich handelt es sich hier um einen Fremdkörper!
Therapie und weiterer Verlauf
Nach einigen Tagen des Abwartens, in denen der Prozess reifen kann, wird Maya narkotisiert. Unter Ultraschallführung wird eine Kanüle zum beobachteten wahrscheinlichen Fremdkörper vorgeschoben. Entlang dieser Kanüle wird der Knoten dann chirurgisch eröffnet - in einer grösseren Menge Eiter findet sich dann tatsächlich eine Pflanzenrispe. Die Abszesshöhle wird ausgiebig gespült, die Haut wieder verschlossen und der Abszess mit einer Drainage versehen, damit der verbleibende Eiter abfliessen kann. Maya erhält ein Antibiotikum, Schmerzmittel sowie eine Halskrause, damit sie den Drain nicht auskratzen kann. Einige Tage später wird der Drain dann gezogen - die Schwellung ist schon praktisch komplett verschwunden und dem Hund geht es sehr gut. Einige weitere Tage später ziehen die Besitzer selber die verbleibenden Fäden; der chirurgische Schnitt ist gut verheilt.



Wissenschaftliches
Pflanzliche Fremdkörper sind bei Kleintieren keine Seltenheit (siehe Fälle 16, 17, 27 und 51). Die Herkunft des bei Maya beobachteten Fremdkörpers bleibt schlussendlich ungeklärt - wahrscheinlich scheint aber, dass der Hund die Pflanzenrispe abschlucken wollte und diese dann im Rachenraum liegen blieb. Aufgrund der Struktur (pfeilspitzenförmig und mit feinen Widerhäkchen) wurde die Rispe dann wohl in die Schleimhaut gepresst und begann ihren Weg vom Rachenraum bis in die Unterhaut der rechten Halsseite. Alternativ scheint es möglich, dass sich das Pflanzenmaterial von aussen durch die Haut gebohrt hatte - dies könnte beispielsweise die starke Schwellung 3 Monate zuvor erklären.
© Dr. med. vet. P. Müller / Lyssbachvet



